


Es la especialidad de la odontología que repara todos los defectos que se producen en las encías. Algunos de ellos pueden ser encías que han dejado el diente más largo, encías que se juntan con el frenillo de los labios, etc. Estos casos provocan serios problemas de estética, funcionales (dolor a la hora de comer) y de sensibilidad en los dientes.
Existen dos tipos de encía en la boca; la encía móvil o libre, y la encía adherida o queratinizada. La encía ideal para mantener sano el periodonto del diente es la adherida (la que queda pegada a los dientes aun moviendo el labio). La mayoría de los casos y más en los sectores anteriores suelen ser los sitios que más ausencia tienen de este tipo de encía adherida.
Las regeneraciones gingivales mas frecuentes en nuestro consultorio son:
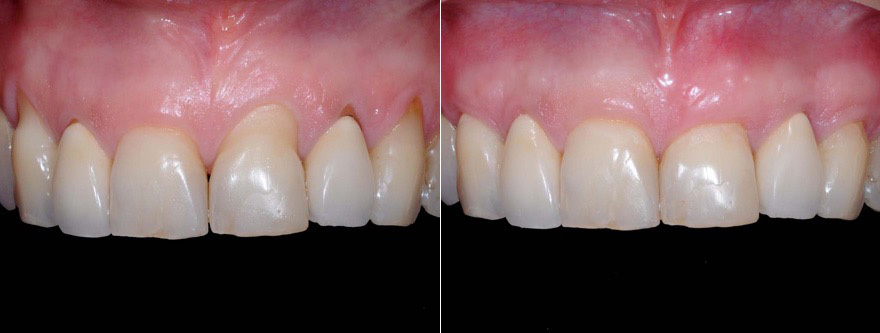
Injertos libres de paladar
Técnica por la cual colocamos encía adherida propia ( del paladar del paciente) o artificial, en la zona donde haga falta dicha encía normalmente en la zona de los incisivos inferiores que suelen tener mucha perdida de encía queratinizada. Es una técnica quirúrgica mínimamente invasiva, permite al paciente hacer vida normal y en tres semanas aprox. la encía esta totalmente integrada al nuevo lugar
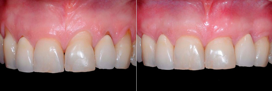
Injertos de conectivo
Cuando en vez de crear encía nueva en la zona receptora por ausencia de la misma, lo que hacemos es sacar encía del paladar del paciente , para posteriormente introducirla, tipo carta dentro de su sobre,por debajo de la encía consiguiendo así mas grosor en la encía existente y así poder conseguir una encía mas resistente contra la bacteria.

Las causas mas frecuentes en este tipo de lesiones gingivales son:
- Malposicionamiento de los dientes en la boca
- Apretamiento dental por las noches
- Cepillados de dientes agresivos
- Uso de cepillos dentales duros (debe ser medio)
- Defectos anatómicos genéticos.
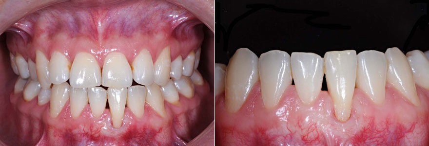
Normalmente cursan con retracciones de las encías provocando una exposición de las raíces de los diente, cursando con sangrado de encías, hipersensibilidad dental y defecto estético. Si no se corrigen estos defectos se puede llegar, con el tiempo, con la pérdida de dientes.

