


És l’especialitat de l’odontologia que repara tots els defectes que es produeixen en les genives. Alguns d’ells poden ser genives que han deixat la dent més llarga, genives que s’ajunten amb el fre dels llavis, etc. Aquests casos provoquen seriosos problemes d’estètica, funcionals (dolor a l’hora de menjar) i de sensibilitat en les dents.
Existeixen dos tipus de geniva en la boca; la geniva mòbil o lliure, i la geniva adherida o queratinizada. La geniva ideal per mantenir el període de la dent és l’adherida (la que queda pegada a les dents àdhuc movent el llavi). La majoria dels casos i més en els sectors anteriors solen ser els llocs que més absència tenen d’aquest tipus de geniva adherida.
Les regeneracions gingivals mes freqüents en el nostre consultori són:
Empelts lliures de paladar
Tècnica per la qual col·loquem geniva adherida pròpia ( del paladar del pacient) o artificial, a la zona on faci mancada aquesta geniva normalment a la zona dels incisius inferiors que solen tenir molta perduda de geniva queratinitzada. És una tècnica quirúrgica mínimament invasiva, permet al pacient fer vida normal i en tres setmanes aprox. la geniva aquesta totalment integrada al nou lloc
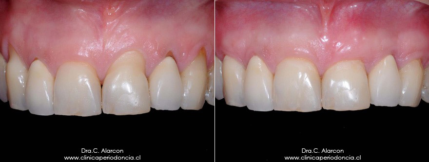
Empelts de connectiu
Quan en comptes de crear geniva nova a la zona receptora per absència de la mateixa, la qual cosa fem és treure geniva del paladar del pacient , per posteriorment introduir-la, tipus carta dins del seu sobre,per sota de la geniva aconseguint així mes grossor en la geniva existent i així poder aconseguir una geniva mes resistent contra el bacteri.

Les causes mes freqüents en aquest tipus de lesions gingivals són:
- Malposicionament de les dents en la boca
- Apretament dental a les nits
- Raspallats de dents agressives
- Ús de raspalls dentals duros (ha de ser mitjà)
- Defectes anatòmics genètics.
Normalment cursen amb retraccions de les genives provocant una exposició de les arrels dels dent, cursant amb sagnat de genives, hipersensibilitat dental i defecte estètic. Si no es corregeixen aquests defectes es pot arribar, amb el temps, amb la pèrdua de dents.

